Download Aspergillus Histology Gif

Download Aspergillus Histology Gif. In the conidial stage it is green and in the ascosporic stage yellow, reddish yellow, or reddish brown. Aspergillus is a member of the phylum ascomycota.

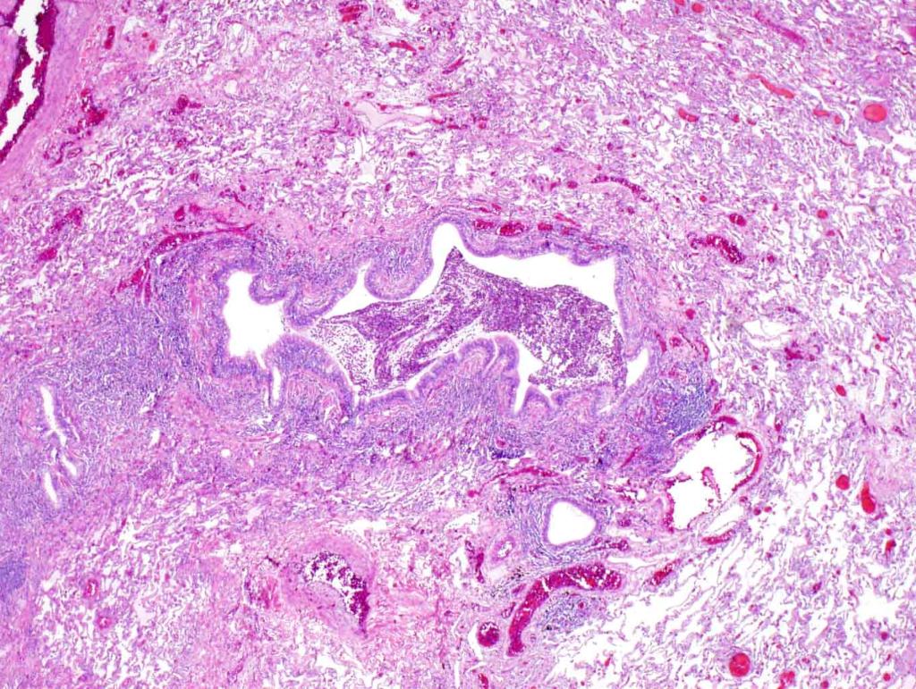
Mucoid impaction of bronchi | Mucin admixed with ...
Mucoid impaction of bronchi | Mucin admixed with ... from c1.staticflickr.com
Aspergillus is a member of the phylum ascomycota. May see aspergillus fruiting body (other fungi may mimic aspergillus, in general, should not microscopic (histologic) images. Aspergillus (/ˌæspərˈdʒɪləs/) is a genus consisting of a few hundred mould species found in various climates worldwide.

May see aspergillus fruiting body (other fungi may mimic aspergillus, in general, should not microscopic (histologic) images.

Start studying lecture 5 pneumocystis aspergillus mucormycosis zygomycetes 4.16.19. Contributed by professor venna maheshwar, dr. Aspergillus is a very large genus containing about 250 species, which are currently classified into seven subgenera that are in turn subdivided into several sections comprised of related species (raper. While a teleomorphic state has been.


Posting Komentar

0 Komentar